Geçmeyen Burun Tıkanıklığı: Basit Bir Grip mi, Yoksa Kronik Sinüzit mi?

Geçmeyen Burun Tıkanıklığı: Basit Bir Grip mi, Yoksa Kronik Sinüzit mi?
Burnunuz haftalardır tıkalı, başınızda bir ağırlık var ve "Geçer" dediğiniz o grip bir türlü geçmiyor mu? Birçok kişi basit bir soğuk algınlığı yaşadığını düşünerek haftalarca bekliyor. Ancak bilimsel veriler, 12 haftayı aşan şikayetlerin arkasında çok daha farklı bir tablo olabileceğini gösteriyor.
Bu yazıda, tıbbi araştırmalar ışığında grip ile kronik sinüzit arasındaki o ince çizgiyi öğreneceksiniz.
1. Zaman Çizelgesi: Ne Kadar Süredir Tıkalısınız?
Grip ve sinüzit arasındaki en büyük fark takvimdir. Eğer semptomlarınızın süresine bakarsanız, cevabı büyük oranda bulabilirsiniz.
- Sıradan Bir Grip: Genellikle 7-10 gün sürer ve en geç 3 hafta içinde tamamen iyileşirsiniz.
- Kronik Sinüzit (CRS): Klinik araştırmalar, şikayetlerin 12 hafta veya daha uzun sürmesini "kronik" bir durum olarak tanımlar. Eğer 3 aydır tam olarak rahatlayamadıysanız, bu artık bir virüs meselesi olmayabilir.
2. Belirtilerin Karşılaştırması: Vücudunuz Ne Diyor?
Bilimsel literatüre göre, kronik sinüziti gripten ayıran temel semptom grupları şunlardır:
|
Özellik |
Common Cold (Grip/Soğuk Algınlığı) |
Kronik Sinüzit (CRS) |
|
Süre |
7- 10 Gün |
12 Hafta ve Üzeri |
|
Burun Akıntısı |
Önce şeffaf, sonra koyu (kısa süreli) |
İnatçı geniz akıntısı veya yoğun kıvam |
|
Koku Kaybı |
Geçici ve hafif |
Belirgin ve uzun süreli koku azalması |
|
Yüz Ağrısı |
Nadir ve hafif |
Yüzde baskı, diş ağrısı ve yoğun basınç |
|
Halsizlik/Uyku |
Sadece ilk birkaç gün |
Kronik yorgunluk ve uyku kalitesinde düşüş |
Önemli Not: Araştırmalar, kronik sinüzitin sadece bir enfeksiyon değil, sinüs kanallarındaki kronik bir inflamasyon (iltihaplanma) süreci olduğunu vurguluyor.
3. "Grip Sandım Ama Geçmedi": Neden Doktora Gitmelisiniz?
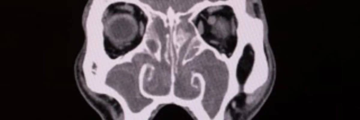
Tıbbi literatür verilerine göre, gribal enfeksiyonlar sırasında çekilen tomografilerde (BT) sinüslerde geçici anormallikler görülebilir ancak bunlar 2-3 haftada kendiliğinden düzelir.
Eğer şikayetleriniz 12 haftayı geçtiyse, uzman bir KBB hekimi şu yöntemlerle kesin teşhisi koyar:
- Endoskopi: Burun içindeki iltihaplanmanın ya da polip oluşumlarının doğrudan görülmesi.
- BT (Tomografi): Sinüslerdeki kronik tıkanıklığın ve olası poliplerin tespiti.
4. Tedavi Yaklaşımları Farklıdır!
Halk arasında yapılan en büyük hata, her burun tıkanıklığında antibiyotiğe sarılmaktır. Oysa bilimsel gerçek şudur:
- Grip virüs kaynaklıdır; antibiyotikler işe yaramaz. İstirahat ve destek tedavisi yeterlidir.
- Kronik Sinüzit ise; sadece bakteriyel bir durum değil, yapısal bir problem veya kronik ödemdir. Burada tedavi, inflamasyonu (ödemi) indirmeye yöneliktir.
Sonuç: Ne Yapmalı?
Eğer burnunuzdaki tıkanıklığa yüzünüzdeki basınç hissi eşlik ediyor ve bu durum 3 ayı buluyorsa, "kendi kendine geçmesini" beklemek yaşam kalitenizi düşürebilir. Bu belirtileri ihmal etmeyin.







